
解放日报·上观新闻记者调查发现,随着AI修图日渐普及,“照片”变“照骗”的现象也越发明显。就旅游市场而言,过度修饰的“照骗”频频出现在住宿预订环节。尤其在民宿市场,“AI修图教程-‘照骗’揽客”俨然成为了一条灰色产业链。
今天,上海跃赛生物科技有限公司研发的癫痫细胞诊治药物UX-GIP001打针液获中国国度药监局药品审评中心批准,将干涉临床查验阶段。前不久,这款更变药已获好意思国食物药品监管局(FDA)临床查验批准,成为群众首款干涉临床的iPSC(指令性多颖慧细胞)开首异体癫痫细胞诊治药物。这亦然上海国投先导生物医药母基金在细胞诊治领域的首个直投神志。
凭借国际最初的干细胞定向分化技巧,跃赛生物研发的帕金森病细胞诊治药物也已赢得“中好意思双批”,现在在临床查验中线路出风雅的安全性和积极疗效。这种新疗法打破了传统对症诊治的局限,向疾病建造型根治方针迈进。
基础继续奠定国际最初技巧
指令性多颖慧细胞是指通过导入特定的转录因子,将最后分化的体细胞重编程为多颖慧细胞,落幕“永生久视”。它们在基因和卵白抒发、表不雅遗传修饰情状、倍增和分化身手等方面皆与胚胎干细胞同样,但与胚胎干细胞诊治比拟,不存在伦理争议,其开首细胞(如外周血细胞、皮肤细胞)更易获取,是以连年来已成为多颖慧细胞诊治居品研发的主要标的。
能否用指令性多颖慧细胞诊治神经系统疾病?这是跃赛生物创始东谈主、中国科学院脑科学与智能技巧超卓更变中心高档继续员陈跃军继续的课题。经过多年基础继续,他指导团队研发出新的高通量单克隆谱系示踪技巧、神经细胞高效分化新技巧,在业内初度默契了神经分化历程的“黑匣子”。
“把最后分化的体细胞重编程为多颖慧细胞历程中,会产生大皆莫得诊治效果的非主张细胞。”陈跃军讲明,“咱们研发的高通量单克隆谱系示踪技巧,能完好默契每个细胞的分化旅途。在此基础上,就能设备新的分化和质控策略,减少非主张细胞。”
跃赛生物研发东谈主员在践诺室职责。
基础继续取得的打破,让跃赛生物领有了国际最初技巧。公司坐褥的细胞药物中,主张细胞比例失色国、日本企业设备的同类药物高得多,从而大幅裁汰了移植到患者脑内的细胞数目,使细胞诊治更安全,成药性也更好。
名鼎配资在癫痫患者脑内,阻碍性GABA能中间神经元功能缺失,导致神经辘集过度振作,是癫痫发作的中枢病理。跃赛生物凭借特等的东谈主多颖慧细胞更变技巧平台,定向分化出阻碍性神经祖细胞。将它们移植到患者脑内,有望重建局部阻碍性神经环路,减少癫痫发作。
两大疾病临床查验令东谈主期待
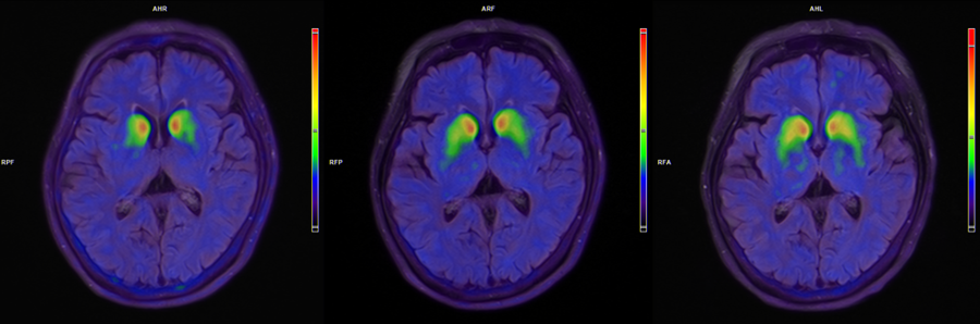
正在进行的临床查验,已线路出洋产细胞药物令东谈主期待的远景。2025国际帕金森和通顺阻碍协会年会上,跃赛生物研发的群众首款“中好意思双批”自体细胞诊治居品UX-DA001以“最新打破性继续”入选了大会表面论说。上海交大医学院附庸瑞金病院在年会上发布了首例帕金森病患者诊治后6个月的随访数据:患者通顺功能显赫改善,MDS-UPDRS-Ⅲ评分在“关期”改善21分,在“开期”改善9分,改善比例均普及45%;每天“关期”期间平均减少3.6小时,无烦东谈主异动症的“开期”期间加多3.3小时;医学影像线路,双侧壳核移植区的多巴胺转运体信号抓续增强。
患者脑部术前、3个月、6个月的18F-FP-CIT PET图像
国产细胞药物诊治癫痫的远景,也值得期待。癫痫俗称“羊癫疯”,影响着群众约7000万东谈主健康,启盈优配中国患者约1000万。多达1/3的患者经药物诊治无效,发展为药物难治性癫痫,其中部分可经致痫灶切除术和电刺激神经诊治来功令,但有反作用。因此,设备一种可采取性针对癫痫病灶、保留相邻组织且不激发药物反作用的细胞疗法至关远大。跃赛生物CEO吴岚林示意,公司已为UX-GIP001诊治癫痫的临床查验作念好准备,行将运转患者入组职责。
“与小分子药物不同,指令性多颖慧细胞药物具有一次打针、长期灵验的特质,它们定向分化成主张细胞后,表面上能在患者大脑中终生存活。”吴岚林说。
这种细胞疗法分为自体、异体两类技巧,自体疗法的指令性多颖慧细胞来自患者本东谈主,异体疗法的指令性多颖慧细胞来自健康个体。前者的上风,是细胞移植后患者不需要采纳为期一年的抗排异免疫诊治;后者的上风是可批量化坐褥,使居品价钱远低于自体疗法,明天居品获批上市后,有望落幕医保险翳。
更变生态和老本助企业成长
跃赛生物的“群众首款”后果,是上海连年来细胞和基因诊治产业快速发展的一个缩影。市科委先容,在这一世物医药前沿赛谈,上海遵循打造张江细胞与基因产业园、浦江基因明天谷,已蕴蓄200家以上企业,占我国细胞和基因诊治产业链企业的三分之一。
“十四五”以来,上海已有5款细胞和基因诊治居品获批上市,其中4款是CAR-T细胞诊治药物,占世界50%;另一款是血友病B基因诊治药物,为国内创举。150多个在研神志干涉临床查验,群众首个基因诊治遗传性耳聋、异体通用型免疫细胞诊治本人免疫病等重磅后果问世。在免疫细胞、干细胞、病毒载体类、核酸类药物等研发领域,上海处于世界最初地位;在环状RNA、干细胞定向分化等领域,达到国际最初水平。
谈及上海生物医药产业的更变生态,陈跃军说,在这座城市可汇聚大皆一流的生物医药科研和产业东谈主才,在跃赛生物邻近1—5公里内可找到种种CRO(医药公约研发组织),产业资源丰富完备。“咱们公司在成长历程中,得到了市科委、浦东新区和外高桥干系部门倨傲相沿,平日有专科东谈主员上门,提供居品报告、东谈主才政策等方面的指导。‘科创海关’等更变举措更是念念企业之所念念,处置了咱们研发中的燃眉之急。”在政府相沿下,跃赛生物已在外高桥保税区建成4000平方米研发中心和GMP洁净厂房。
跃赛生物坐褥细胞药物的GMP洁净厂房
在跃赛生物成长历程中,国有老本和社会老本也饰演了远大脚色。上海国投先导生物医药母基金、浦东引颈区产业发展基金已诱惑投资这家企业近亿元,上外洋高桥私募投资基金也参与了A+轮融资。本年2月,跃赛生物通知完成总数达3亿元的A轮和A+轮融资,除了国资基金,还引入了磐霖老本等风投契构以及来自天士力医药的产业老本。
国投先导雅致东谈主先容,上海国投先导生物医药母基金将证实国有老本的计谋引颈和“耐烦老本”作用配资178,追随跃赛生物等更变企业成长,协助企业在各个发展阶段拓展融资渠谈,鼓吹更多的沪研国产更变药早日惠及远大患者。
优配官网胜亿优配宝尚配资盈胜优配盈胜优配启盈优配提示:文章来自网络,不代表本站观点。